Referring Dentists
Facebook
LinkedIn
YouTube
Instagram
Pinterest
BIRM
CANTON
248-901-0000
Menu
ABOUT
TEAM
DR. SAYED
DR. SALEH
INITIAL VISIT
WHAT TO EXPECT
DIRECTIONS
CONTACT INFORMATION
OFFICE GALLERY
MORE INFO
NEWS
REVIEWS
MOTOR CITY STUDY CLUB
HYGIENE CLUB
SERVE YOU BETTER
Close
PERIODONTAL DISEASE
WHAT IS PERIO DISEASE?
CAUSES OF PERIO DISEASE
SYMPTOMS OF PERIO DISEASE
NON-SURGICAL TREATMENT
SURGICAL TREATMENT
WHO GETS PERIO DISEASE?
PREVENTION
RISK FACTORS
INFORMATIONAL VIDEOS
SYSTEMIC COMPLICATIONS
DIABETES
HEART DISEASE
OTHER DISEASES
Close
IMPLANTS
WHAT ARE IMPLANTS?
ARE THEY FOR YOU?
THE PROCESS
WHAT TO EXPECT
IMPLANT ADVANTAGES
HOW TO FIND A IMPLANT PROVIDER
IV SEDATION FOR DENTAL IMPLANTS
IMPLANT FAQs
OUR SOLUTIONS
OPTIONS FOR MISSING TEETH
FULL ARCH REPLACEMENTS
SUPPLEMENTAL PROCEDURES
BONE REGENERATION
GUIDED BONE REGENERATION
SOCKET GRAFTING
LASER SURGERY
IMPLANT CARE
DENTAL IMPLANT POST-OP CARE
TOOTH LOSS & YOUR HEALTH
TOOTH LOSS & YOUR DIET
Close
SLEEP APNEA
Sleep Apnea Treatment
CPAP Alternatives
Oral Appliance Therapy
Snoring Treatment
Sleep Apnea Education
Our Care Process
Sleep Apnea Consultation
Close
SERVICES
GUM RECESSION
ACELLULAR DERMAL MATRIX
LASER SURGERY
SMILE DESIGN
GINGIVECTOMY
FRENECTOMY
CROWN LENGTHENING
OTHER SERVICES
SLEEP APNEA & SNORING
EXPOSURE OF IMPACTED TEETH
SINUS LIFTS
BONE GRAFTING
SOCKET GRAFTING
IV SEDATION
SCALING AND ROOT PLANING
OSSEOUS SURGERY
INTRAORAL CAMERA
Close
GALLERY
IMPLANT GALLERIES
GUM RECESSION GALLERIES
PERIO TREATMENT GALLERIES
SMILE DESIGN GALLERIES
INFORMATIONAL VIDEOS
FACILITIES GALLERY
Close
FORMS
REFERRING DENTISTS
CONTACT
APPOINTMENT
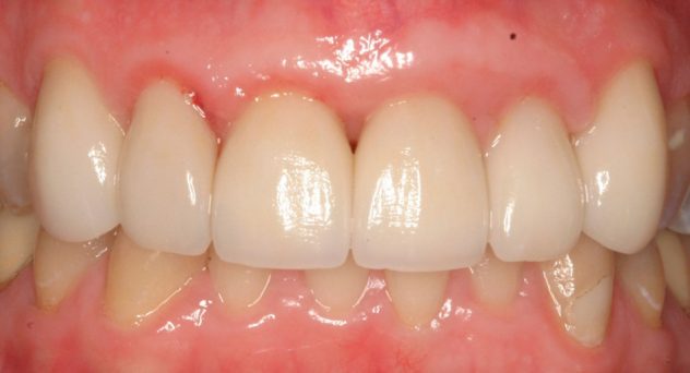
gum-recession_case-6-after
January 11, 2018
admin
Skip to content
Open toolbar
Accessibility Tools
Accessibility Tools
Increase Text
Increase Text
Decrease Text
Decrease Text
Grayscale
Grayscale
High Contrast
High Contrast
Negative Contrast
Negative Contrast
Light Background
Light Background
Links Underline
Links Underline
Readable Font
Readable Font
Reset
Reset